
Advantages of RVG in Dentistry
Dr. Megha Sood
January 27, 2024
3 min read
Advantages of RVG in Dentistry - The dental profession continually embraces technological advancements to enhance patient care. Among these, RadioVisioGraphy (RVG) stands out as a pivotal innovation, transforming dental diagnostics and treatment procedures.
The best RVG Sensors available online Brands are Vatech RVG Sensor, Carestream, Dentsply Fona, Woodpecker, Endoking Rvg, Eighteenth Nanopix and Waldent Rvg. You can easily buy online RVG Sensors at an economical price.
Conclusion :
RVG technology, particularly the Waldent Carpo RVG V-Sensor, represents a significant leap in dental radiography. Its blend of high-quality imaging, efficiency, and patient safety, all within a reasonable budget, makes it an indispensable tool for modern dentistry. Discover a wide range of top-quality RVG brands on Dentalkart, your go-to platform for the latest in dental imaging technology.
Advantages of RVG in Dentistry
RVG technology in Dentistry has revolutionized the way dentists approach radiography, offering numerous benefits:Enhanced Image Quality
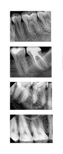
RVG provides high-resolution images, critical for accurate diagnosis and treatment planning. The clarity and detail offered surpass traditional X-ray films, allowing for better detection of dental conditions.
Reduced Radiation Exposure
One of the most significant benefits of RVG in dentistry is the reduced radiation dose compared to conventional radiography, ensuring patient safety and compliance with the ALARA principle.
Efficiency in Dental Procedures
RVG offers instant image processing, drastically reducing the time between exposure and image analysis. This efficiency is crucial for fast-paced dental practices, aiding in quicker decision-making and treatment.
Digital Convenience
The digital nature of RVG facilitates easy storage, sharing, and retrieval of patient records. This aspect is invaluable for long-term patient management and collaboration with other dental professionals.
Improved Patient Perception
Patients often associate digital technology with advanced care. RVG systems can enhance patient trust and satisfaction, as they observe their dental issues being addressed with cutting-edge technology.
The best RVG Sensors available online Brands are Vatech RVG Sensor, Carestream, Dentsply Fona, Woodpecker, Endoking Rvg, Eighteenth Nanopix and Waldent Rvg. You can easily buy online RVG Sensors at an economical price.
Top RVG Sensors Available Online
There are a wide range of RVG Sensors produced and available for purchase in the market today and each functions on different features, tailor-made to meet the diversified needs of dental practices. Some of the best RVG sensors that can be purchased online at great values include:- Waldent Carpo RVG V-Sensor
- Eighteeth Nanopix Dental RVG Sensor
- Vatech RVG Sensor
- Woodpecker RVG Sensor
- Fussen RVG Sensor
- Carestream RVG Sensor
- Dentsply Fona
- Apple Dental RVG Sensor
- Endoking RVG
- Eighteenth Nanopix
- Waldent RVG
The Waldent Carpo RVG V-Sensor: A Market Leader
In the competitive world of RVG systems, the Waldent Carpo RVG V-Sensor emerges as a standout choice, especially for practices conscious of budget without compromising quality. This system is renowned for its: High-Resolution Imaging: Ensuring detailed and clear radiographic images. Durability and Ease of Use: A user-friendly system designed for the rigors of daily dental practice. Cost-Effectiveness: Priced under 1 lakh rupees, it offers high-end features without the hefty price tag, making it an attractive option for all types of dental practices.
Conclusion :
RVG technology, particularly the Waldent Carpo RVG V-Sensor, represents a significant leap in dental radiography. Its blend of high-quality imaging, efficiency, and patient safety, all within a reasonable budget, makes it an indispensable tool for modern dentistry. Discover a wide range of top-quality RVG brands on Dentalkart, your go-to platform for the latest in dental imaging technology.
D
Dr. Megha Sood
Author
Related Articles

Self-Etch vs. Selective-Etch vs Total-Etch: A Clinical Decision Guide for Everyday Restorations
IntroductionIn restorative dentistry, bonding success does not depend only on the composite resin or adhesive brand. More often than not, long-term success or f
Dr. Bhavishya Arora
January 31, 2026
4 min read
Tissue-Level vs Bone-Level Implants: Clinical Selection Guide
In modern implantology, the debate isn't about which system is "better," but rather which design is most compatible with the patient’s specific anatomy. Implan
Dr. Yashasvi Sharma
January 23, 2026
3 min read
Paediatric Pulp Therapy: Guidelines & Best Materials (Pulpotomy / Pulpectomy)
Introduction to Pediatric Pulp Therapy In children, caries reaches the pulp fast because primary teeth have thinner enamel, dentin and larger pulp chambers.
Dr. Bhavishya Arora
January 20, 2026
7 min read